セラミック治療とは

セラミックとは「陶器」の材質を用いた詰め物かぶせ物を指します。天然の歯に近い自然な色合いを再現できるため、審美面で非常におすすめできる物になります。セラミックは人工関節などにも採用される、人のからだへの親和性に優れた素材です。
銀歯のメリット・デメリット

以前は歯が欠けたり、治療で削ったりした際に選択肢が少なく、銀歯を入れることが主流でした。銀歯には保険がきくというメリットがありますが、虫歯の再発,審美性に劣る・歯肉の変色,金属アレルギーなど様々なデメリットもあります。
セラミックのメリット・デメリット

セラミックのメリットは,虫歯の再発が圧倒的に少ないこと,そして,接着力が高く,長持ちする,審美性が良い,着色しにくい,金属アレルギーがないなど多くあります。デメリットとしては保険外の自費診療になります。また,セラミックは割れやすいとの意見もありますが,一人ひとりに合わせたセラミック材の選択,治療を行うことで一番長持ちする材質であると考えております。
セラミック治療を受けることで,「口元の銀歯が見えるのが恥ずかしくて思いきり笑えない」といったお悩み,コンプレックスが解消されることで表情が豊かになり治療する前とあとでの表情の変化は最大のメリットではないかとも思っています。
ハイブリッドインレーのメリット・デメリット
ハイブリッドインレーのメリットは、硬すぎず柔軟性に優れているかつ、欠けにくく、壊れにくい。ハイブリッドインレーのデメリットは、時間が経つと変色する。
e-maxインレーのメリット・デメリット
e-maxインレーのメリットは、審美性に優れていて、経年劣化しにく、 金属アレルギーの心配がない。e-maxインレーのデメリットは、健康保険が適用されなく、他の歯への負担があり、高度な技術が必要。
ジルコニアクラウンのメリット・デメリット
ジルコニアクラウンのメリットは、内側に強度の高いジルコニアを使用しているので、耐久性に優れており、表面はセラミックを使用しているので、透明感や審美性にも優れた素材。ジルコニアクラウンのデメリットは、ジルコニア上に表面はセラミックを焼き付けているので、瞬間的に強い力がかかった場合割れてしまうリスクがある。歯ぎしりが強い人には不向きの素材。
ジルコニアボンドのメリット・デメリット
ジルコニアボンドのメリットは、身体に優しく、審美性に優れている。メタルフリージルコニアボンドのデメリットの一つとして、治療の金額があげられます。ジルコニアは保険適用外の治療となりますので、銀歯などの保険適用できる治療よりも高額になってしまいます。 ジルコニアやセラミックは歯を削る量が金属に比べ多少多くなってしまうと言われますが歯を削る量は歯の状態、虫歯の大きさ、神経の有無などによって異なりますので一概には言えません。
オールセラミックスクラウンのメリット・デメリット
オールセラミックスクラウンのメリットは、セラミックだけを使用しているので、内側を透過せず、透明感が高く周りの歯と色調を合わせやすく、金属を使用していないので、歯ぐきが黒ずむ心配がなく、金属アレルギーのリスクもない。オールセラミックスクラウンのデメリットは、ブリッジにする場合には歯が無い部分もカバーする必要がある。しかし、オールセラミックは歯がないダミーの部分に力がかかると割れてしまうリスクがあるので、ブリッジには不向きな素材。
ラミネートべニアのメリット・デメリット
ラミネートべニアのメリットは、時間が経っても変色しなく、金属を使用していない。ラミネートべニアのデメリットは、力が加わるとセラミックが欠けたり取れたりする可能性がある。
セレックとは

セレックは3Dデータをもとに、型取りをせずに詰め物やかぶせ物をスピーディーに製作・装着できるシステムです。虫歯などのトラブルで歯に詰め物やかぶせ物を補うことが必要になったけれど、銀歯は目立つから入れたくない、という方の強い味方です。
セレックシステムは、建築設計に活用されているCAD/CAMシステムを歯科に応用したもので、最初に口腔内を特殊な3Dカメラでスキャンして歯型のデータを読み込み、そのデータに基づいて人工の歯をコンピューターで設計します。そしてミリングマシン(削る機械)で高品質なオールセラミックブロック(セラミック材)を自動で削り出し、制度の良い修復物ができあがります。
これまでのように型取りをして、詰め物ができるのを待ち、別の日に装着のため通院する、という工程を省くことも可能です。また、型取りの際に嘔吐反射が出やすい方にも安心してご利用いただけます。さらに工程が省かれるぶん、これまでのセラミックよりも費用の面でも抑えることができます。
セレックの特徴
型取りは光学スキャンで

ゴムのような素材で歯型を取る工程を省き、光学カメラで、直接歯の形状を読み込みます。嘔吐反射など型取りが苦手だった患者様にも安心してご利用いただけます。
高品質な上に安心の価格

外部の歯科技工所に依頼して待つ必要がなく、院内で製作できるので、人件費・郵送費をカットし、高品質なセラミック製材料を安心の価格で手に入れることができます。コンピューターのシミュレーション通りに製作されるので、仕上がりがイメージしやすいのもメリットです。
その日のうちに白いセラミックの歯が手に入る

症例によっては、虫歯の部位を削ったその日のうちにセラミックをセットすることも可能です。数時間お待ちいただければ治療開始から装着まで最短1日で完了します。仮歯も不要なので、何度も通院する必要もありません。
金属アレルギーの方にも安心

材質がメタルフリーのセラミックなので、金属アレルギーの方や金属アレルギーが心配な方にも安心してお選びいただけます。
自然な美しい白い歯

オールセラミックなので、天然の歯のような自然な白さ・透明感・耐久性があります。また、変色しにくく、舌触りも自然で、天然の歯とほぼ同等の硬さなので、ほかの歯を傷める恐れもありません。
1型取りは光学スキャンで
ゴムのような素材で歯型を取る工程を省き、光学カメラで、直接歯の形状を読み込みます。嘔吐反射など型取りが苦手だった患者様にも安心してご利用いただけます。
2高品質な上に安価
外部の歯科技工所に依頼して待つ必要がなく、院内で製作できるので、人件費・郵送費をカットし、高品質なセラミック製材料を安価に手に入れることができます。コンピューターのシミュレーション通りに製作されるので、仕上がりがイメージしやすいのもメリットです。
3その日のうちに白いセラミックの歯が手に入る
症例によっては、虫歯の部位を削ったその日のうちにセラミックをセットすることも可能です。数時間お待ちいただければ治療開始から装着まで最短1日で完了します。仮歯も不要なので、何度も通院する必要もありません。
4金属アレルギーの方にも安心
材質がメタルフリーのセラミックなので、金属アレルギーの方や金属アレルギーが心配な方にも安心してお選びいただけます。
5自然な美しい白い歯
オールセラミックなので、天然の歯のような自然な白さ・透明感・耐久性があります。また、変色しにくく、舌触りも自然で、天然の歯とほぼ同等の硬さなので、ほかの歯を傷める恐れもありません。
セレックの流れ

1口腔内をスキャン
虫歯部分を削ったあと、3D光学カメラでスキャンします。型取りが不要なので患者様の負担を軽減できます。

2かぶせ物の設計
スキャンしたデータをもとに、歯の形状や噛み合わせを考慮してかぶせ物を設計します。

3削り出し
患者様の歯の色に合わせたセラミックブロックをミリングマシンにセットすると、設計データ通りに自動的にかぶせ物が削り出されます。

4焼成
当院では専任の歯科技工士がセラミックの強度と色調をより高めるため、通常のセラミックシステムの工程に、スピードファイアという機器による焼成の工程を加えています。これにより、審美性がよく,より長持ちするかぶせ物をご提供しています。

5装着
かぶせ物を装着し、調整を行って治療完了です。症状により当日に完了する場合と、翌日以降にご来院いただく場合があります。
費用
詰め物
| ハイブリッドインレー | 49,500円(税込) |
|---|---|
| セラミックインレー | 55,000円(税込) |
被せ物(前歯)
| ジルコニアボンド | 121,000円~143,000円(税込) |
|---|---|
| ジルコニアクラウン | 88,000円~154,000円(税込) |
| オールセラミックスクラウン | 99,000円(税込) |
被せ物(臼歯)
| ジルコニアクラウン | 77,000円(税込) |
|---|---|
| オールセラミックスクラウン | 99,000円(税込) |
| ジルコニアボンド | 121,000円~143,000円(税込) |
ラミネートべニア
| ラミネートべニア | 77,000円~99,000円(税込) |
|---|
症例
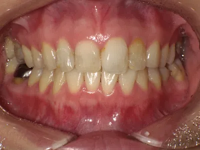
症例1
before

after

| 主訴 | 前歯の見た目を綺麗にしたい |
|---|---|
| 治療内容 | オールセラミックスクラウンにて治療 |
| 治療期間 | 2ヶ月 |
| 費用 | 88,000円(税込)/1本×4本分=320,000円(税込) |
| リスク・副作用 | まれに染みる症状が出てしまう可能性あります |
症例2
before

after


| 主訴 | 前歯の見た目を綺麗にしたい |
|---|---|
| 治療内容 | 右上の2本をラミネートベニアと被せ物にて治療 |
| リスク・副作用 | 強い力が加わると割れたり欠けたりする可能性があります。知覚過敏になる可能性もあります。 |










