入れ歯

入れ歯について

入れ歯について

入れ歯には「ずれやすい」「がたつく」「清掃がしづらい」などのデメリットはありますが、インプラントのように外科手術の必要がなく、噛む力を補うことができます。歯を失った患者様にとってなじみやすい選択肢のひとつといえるでしょう。費用的にも取り入れやすく、保険内・自費診療の両方で、患者様のご希望や生活習慣に合わせた入れ歯を提供することが可能です。
当院は専任の歯科技工士と連携しているため、きめ細かくご要望に応えたオーダーメイドの入れ歯を製作することが可能で、患者様から患者様へと多くのご紹介をいただいています。

こんなお悩みありませんか?

  • 噛むと痛い
  • 外れやすい
  • しゃべりにくい
  • 吐き気
  • におい
  • 見た目がよくない

当院の入れ歯治療

  • 臨床経験豊かな熟練の歯科技工士(以前は当院にて勤務)により、高品質の入れ歯を提供できる
  • 患者様同士のご紹介が多く、長年信頼していただいている
  • 一人ひとりの患者様のご要望・生活等に合わせたオーダーメイドの入れ歯製作
  • 保険内から自費の入れ歯まで、素材を熟知した歯科技工士によるひと手間かけた仕上がり
  • 将来の予測を行い,噛み合わせ等に考慮した、長い目でみた一人ひとりにあった入れ歯を製作

入れ歯の修理について

入れ歯の修理について

入れ歯は多少「噛むと痛い」「違和感がある」などと感じても「入れ歯だからこんなもんか」と諦めている人が多いです。原因がひび割れなどの故障の場合、当院では患者様個々の状態に合わせて、新しく一からつくり変えるのではなく、修理して使えるように努めています。 合わない入れ歯を使い続けていると、残っている歯に負担がかかり、歯を失うリスクが上がります。違和感がある場合お早めにご相談ください。 また、他院でつくられた入れ歯についても、もちろん修理させていただきます。せっかく費用をかけてつくられた入れ歯を諦める前に、一度当院へご来院ください。

入れ歯のメンテナンス

入れ歯のメンテナンス

入れ歯は毎日お口の中に入れて使う物なので、汚れも付着しますし、カビが生えやすいです。メンテナンスを怠ると口臭の原因になります。また、口腔内の細菌によって肺炎を起こすリスクが高まります。入れ歯のお手入れは、毎食後取り外し、義歯ブラシや入れ歯洗浄剤で洗うのが理想です。
しかし毎日丁寧にお手入れしていても汚れやカビを完全に除去する事は難しいので、3ヵ月~6ヵ月に一度歯科医院でクリーニングすることをおすすめします。

入れ歯の種類

患者様の口腔内の状態・生活習慣に配慮しながら、複数の選択肢からご要望に合った入れ歯を選択していただけます。熟練の歯科技工士が材質・形状・色合い等にきめ細かく応えたオーダーメイドの入れ歯をご提供します。

保険内

◎レジン床義歯

レジン床義歯

レジン床義歯は保険が適用できる入れ歯で、入れ歯の歯肉やあごに触れる部分が歯肉を模したピンク色のレジンと呼ばれるプラスチック樹脂でできています。
レジンには強度を保つために厚みが必要になるので、口の中が狭くなったような違和感・会話や発音のしにくさ・食べ物の温度を感じとりにくくなり、味わいが阻害されるなどのデメリットもあります。また、金属製のワイヤーをかけて支えにするので、見た目が気になるという方もいらっしゃいます。
ただし、保険内で製作できるため安価であり、破損時に修理しやすいといったメリットもあります。

保険外

◎金属床義歯

金属床義歯

入れ歯の歯肉やあごに触れる部分の厚みを薄くするために、金属を取り入れた入れ歯です。厚みがなくなることで、会話や発音がしやすい・金属の熱伝導性により食べ物の熱さや冷たさを味わえるといったメリットがあります。
デメリットとしては、加齢によってあごの骨が痩せるとずれやすくなる、金属アレルギーを引き起こす恐れがあること等が挙げられます。

金属床義歯チタン330,000(税込)
金属床義歯コバルト275,000円(税込)

◎ノンクラスプデンチャー

ノンクラスプデンチャー

入れ歯をほかの歯に固定する金属バネがないため、審美性が高くなります。歯ぐきの色を模した樹脂でつくられるため、軽くて弾力があり、着け心地の違和感もかなり軽減されます。また、割れる心配もほとんどなく、軽い着け心地です。見た目が気になる方、金属アレルギーが気になる方には大変おすすめの入れ歯です。デメリットとしては費用が高くなる点、患者様によってはずれやすい点等が挙げられます。

ノンクラスプデンチャー143,000円(税込)

◎そのほかにも様々なラインナップあり(コーヌス義歯・ミリング義歯など)

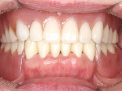
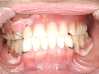
症例

before

before

after

after
after
主訴入れ歯がくちゃくちゃして噛めない
治療内容被せ物(メタルボンド)保険外の義歯(ミリングギシ)
治療期間1年
費用1,100,000円(税込)(義歯と被せ物代合わせて)
リスク・副作用義歯なので着脱が必要です。仮の義歯を作る場合があります。

札幌市中央区の尾崎歯科
いつでもお気軽にご相談ください

011-231-6311045-313-1212

オンライン予約オンライン予約

診療時間

  • ※最終受付時間
  • 月・水・木は18:15まで
  • 火・金は17:15まで

札幌市中央区の尾崎歯科いつでもお気軽にご相談ください