尾崎歯科の矯正治療
ご自身で歯が綺麗にならんでいると思っていても、しっかりと咬めないと大切な歯を失うことになりかねません。
当院では、しっかり噛める歯並びと予後の健康を考慮した矯正治療を提供しています。
●しっかりと咬める理想的な歯並びを
●口腔衛生管理の徹底
●歯がない方の矯正にも対応
矯正治療中の口腔衛生管理の徹底
矯正治療期間はお口の中が不衛生になりがちで、せっかく歯並びがきれいになったのに虫歯などのトラブルで歯がぼろぼろになってしまいその後の健康が保てないという事もあるようです。
当院は「予防歯科」として長年この地で治療を行ってまいりました。矯正治療中のお口の衛星管理を徹底して行えますので安心してご相談下さい。
しっかりと咬める理想的な歯並びを
マウスピース矯正だけでは最終的なかみ合わせが不十分な場合があります。その場合は仕上げにワイヤー矯正を行い理想的な歯並びへと導くことを目指します。
矯正終了後にはさらに見た目をきれいにしたいという要望が多くありますので、当院ではホワイトニングにも対応しております。
歯がない方の矯正にも対応
また、矯正治療は歯がないと通常はできませんが、当院ではインプラントと併用した矯正治療も可能ですので、歯がない方、また神経が無い歯や虫歯がある状態の方も一度ご相談下さい。
お子様の矯正治療
小児期のガタガタの歯並びやあごの発育不調は、舌のくせ、口呼吸、姿勢などが影響して起こると言われております。これらは永久歯が生えそろう前の混合歯列期から治療を開始し、改善してあげることによって永久歯の理想的な歯並びを目指します。
お子様の矯正治療は、それらのお口の中の状態や性格、成長段階に合わせて適切な矯正方法をご提案しております。
きれいな歯並び、噛み合わせはお子様の健康的な発育に関わりますし、予防的に矯正治療を開始することで精神的、経済的な負担の軽減が見込めます。乳歯の時期でもお子様の歯並びが気になったらまずはご相談ください。
メリットとデメリット
メリット
- 歯並びやかみ合わせが改善される
- 見た目が美しくなる
- 虫歯や歯周病などのリスクが低減
デメリット
- 装置装着中は違和感や痛みが生じることがある
- 矯正装置使用中は衛生管理が必要
- 治療期間が長期になる傾向がある
料金
| 相談料 | 虫歯や歯周病などの診察料のみになります |
|---|---|
| 矯正、検査診断 | 55,000円(税込) |
| 第1期治療(混合歯列期、乳歯と永久歯が混在している時期) | 275,000円(税込)~ |
| 第2期治療(永久歯が生え揃ってからの治療) | 440,000円(税込)~ |
| マルチブラケット(成人) | 770,000円(税込)~ |
| マウスピース矯正(成人) | 660,000円(税込)~ |
| その他調整料 | 別途 |
症例
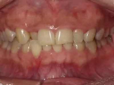
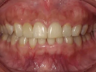
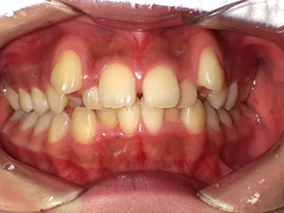
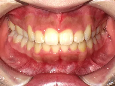
症例1
before

after

| 主訴 | ガミースマイルを治したい |
|---|---|
| 治療内容 | 矯正,歯槽骨整形術,歯肉切除術,ラミネートベニア |
| 治療期間 | 2年 |
| 費用 | 990,000円(税込) |
| リスク・副作用 | 矯正により治療期間中染みたり、咬合痛が出てしまうことがあります |
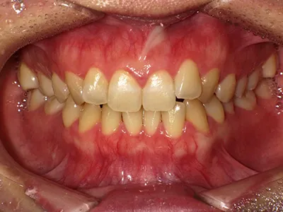
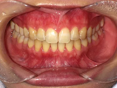
症例2
before

after

| 主訴 | 前歯が噛みづらい |
|---|---|
| 治療内容 | 矯正と奥歯のセラミック治療 |
| 治療期間 | 1年半 |
| 費用 | 660,000円(税込) |
| リスク・副作用 | 矯正期間中一時的に染みる症状や咬合痛が出ることがまれにあります |
症例3
before

after

| 主訴 | 歯並びきれいにしたい、噛み合わせ良くしたい |
|---|---|
| 治療内容 | マウスピース矯正 |
| 治療期間 | 1年 |
| 費用 | 770,000円(税込) |
| リスク・副作用 | 矯正期間中、歯の移動に伴い、痛み、染みる症状が出ることがあります |
症例4
before

after

| 主訴 | 八重歯が気になる、歯並びきれいにしたい |
|---|---|
| 治療内容 | ワイヤー矯正 |
| 治療期間 | 1年 |
| 費用 | 770,000円(税込) |
| リスク・副作用 | 歯牙移動による痛み、染みる症状が出てしまうことがあります |










